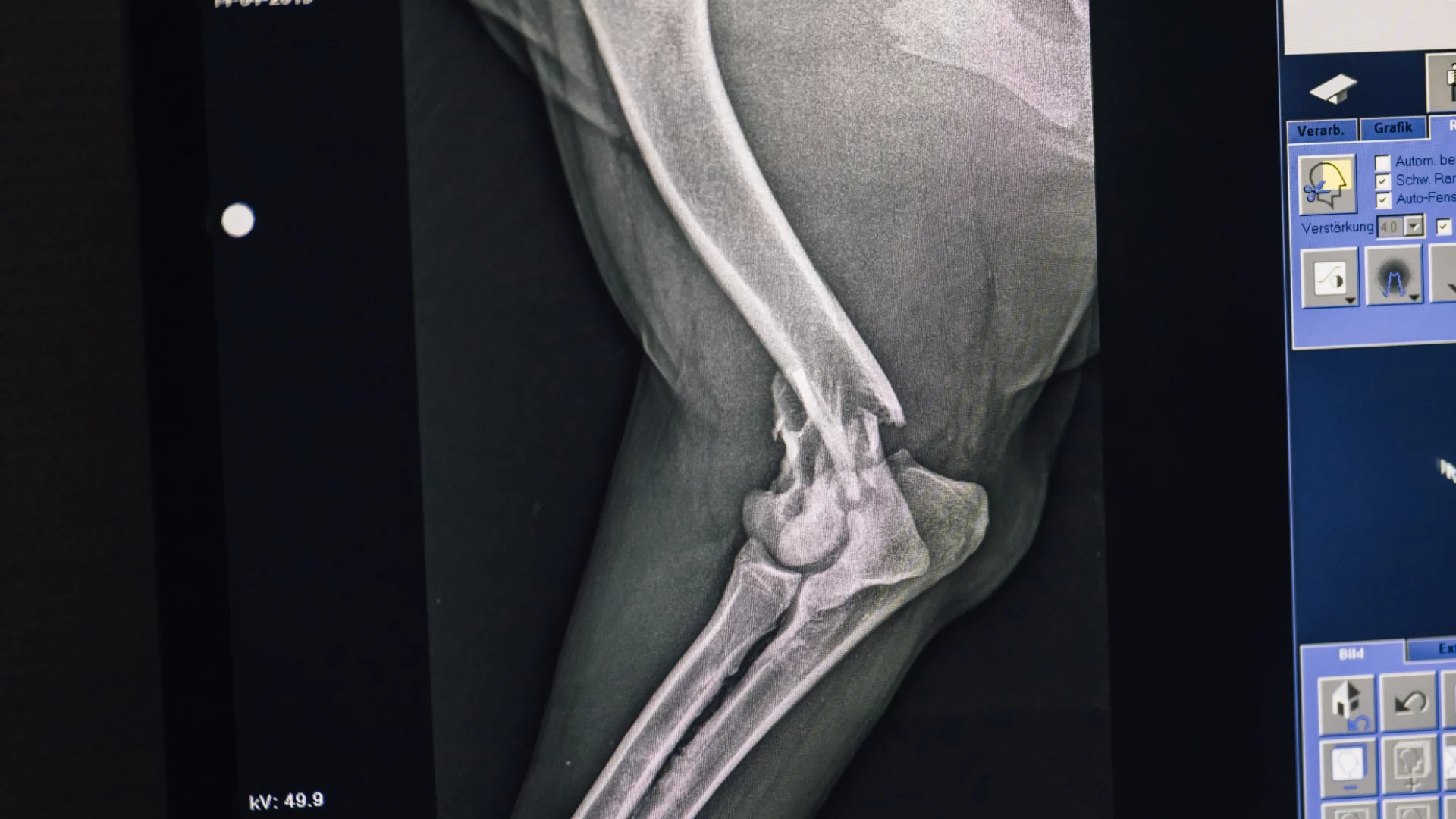
Sichere und schonende Diagnostik mit modernster digitaler Röntgentechnik
Unser digitales Röntgen sorgt strahlungsarm für präzise Aufnahmen von Organen, Skelett und Gebiss
Häufige Fragen und Antworten
In unserem FAQ-Bereich findest du Antworten auf die häufigsten Fragen rund um unsere Tierklinik, Leistungen und Terminvereinbarung.
-
Muss mein Tier für das digitale Röntgen in Narkose?
Meistens nicht – eine Narkose ist nur in Ausnahmefällen nötig, wenn das Tier sehr unruhig ist oder spezielle Aufnahmen erforderlich sind.
-
Wie lange dauert die Untersuchung?
Die Aufnahmen selbst dauern nur wenige Minuten, mit Vorbereitung insgesamt etwa 10–20 Minuten.
-
Wie schnell erhalte ich die Ergebnisse?
Die Bilder liegen sofort digital vor und können direkt mit dir besprochen werden.
-
Wird mein Tier einer Strahlung ausgesetzt?
Ja, wie beim klassischen Röntgen entsteht Strahlung, die Belastung ist jedoch sehr gering und für dein Tier unbedenklich.
-
Was kostet digitales Röntgen?
Die Kosten hängen von der Art der Untersuchung und der Fragestellung ab. Wir beraten dich vorab.
Dein Tier benötigt einen Termin?
Du hast eine Überweisung oder möchtest einen Beratungstermin vereinbaren? Wir sind gerne für dich und dein Tier da.







